| 第 64 回 日本病理学会東北支部学術集会(JSP
−TN) 抄録データベース |
| 出題者および所属 |
|
弘前大学医学部 病理学第二講座1)
同 附属病院消化器・乳腺・甲状腺外科2)
○大橋 大成1),楠美 智巳1),佐藤 冬樹1),諸橋 聡子1),
袴田 健一2),佐々木 睦男2),鬼島 宏1)
|
|
| 症例の概要・問題点 |
| 症例 |
78歳,女性. |
| 既往歴 |
高血圧,背部脂肪腫切除 (76歳) |
| 家族歴 |
父:胃癌,母:くも膜下出血,弟:膵癌,胃癌 |
| 現病歴 |
右上腹部痛を主訴に近医を受診.肝嚢胞性腫瘤を指摘され,手術目的に当院入院となった.腹部CTにて肝右葉に径18 cm大の巨大嚢胞性病変を認めた.病変は多房性で嚢胞壁には内部に造影効果を伴う結節が認められた.内視鏡的逆行性胆管膵管造影(ERCP)では右肝内胆管の圧排,左肝内胆管の軽度拡張を認め,嚢胞との交通はみられなかった.腫瘍マーカーはCA19-9 4727 U/mlと著明に上昇していた.
肝右葉切除,尾状葉切除,胆嚢摘出手術施行. |
| 切除標本 |
切除された肝右葉は約18 x 14 cm大であり,その大部分を嚢胞性病変が占めていた.病変の境界は比較的明瞭で,周囲の肝実質は菲薄化していた.内面は隔壁を有し,一部に不整な結節状隆起を認めた.
内容液細胞診 class ?.内容液CEA 734 ng/ml (血清正常値4.3以下),CA19-9 6884 x 1010 U/ml (血清正常値37以下),SCC 12.5 (血清正常値1.6以下) |
| 配布標本 |
切除標本の一部 |
|
|
| 問題点 |
病理診断について |
| 最終病理診断 |
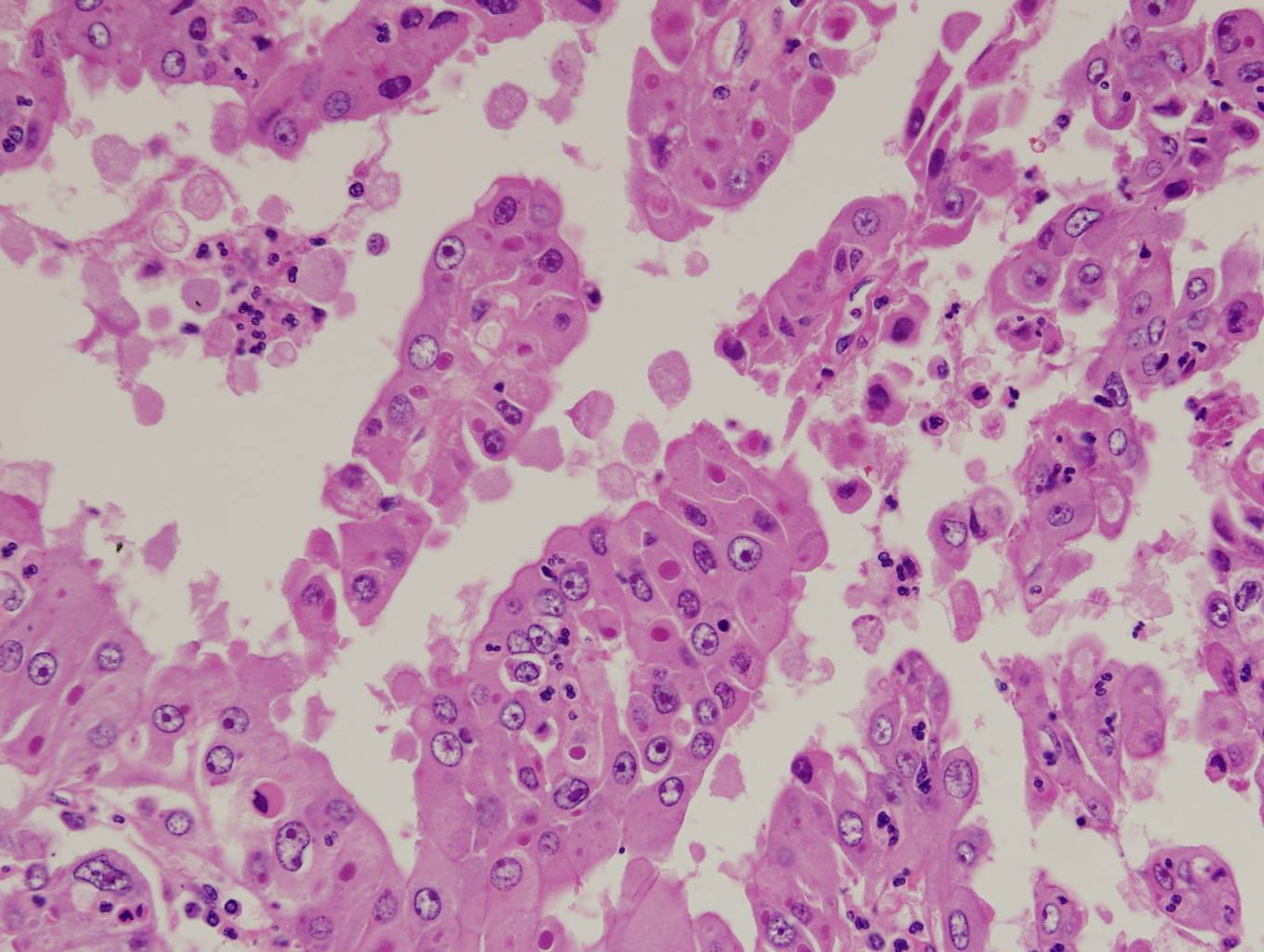
Cystadenocarcinoma of the liver |
|
|
| 演者診断 |
胆管嚢胞腺癌(Bile duct cystadenocarcinoma) |
|
胆管嚢胞腺癌は原発性肝癌の0.12%と,比較的稀な疾患である(第17回原発性肝癌追跡調査).
本症例は,大きさ18x14cmの嚢胞性腫瘍であるが,組織学的には粘液産生に乏しく,細胞内好酸性変性物質の目立つ細胞が乳頭状に増殖していたため,肝細胞癌由来の可能性も考慮された.
しかし,免疫組織化学的に胆管への分化が認められ,胆管嚢胞腺癌の最終診断に至った. |
|
|
|
|
|
|
|
|
|
|
|
|
|
|
|
|
|
|