| 第 62 回 日本病理学会東北支部学術集会(JSP
−TN) 抄録データベース |
| 出題者および所属 |
|
大館市立総合病院 臨床検査科1),同 外科2),
青森市民病院 臨床病理科3),
弘前大学医学部 病理学第一講座4)
黒滝 日出一1),丸岡 智史1),
市川 聡1),佐藤 多喜子1),
大橋 大成2)舘岡 博2),
吉岡 治彦3),八木橋 法登3),八木橋 操六4)
|
|
| 症例の概要・問題点 |
| 症例 |
74歳,男性. |
| 既往歴 |
4年前胃癌のため胃部分切除(sig, sm, β, v0, ly1, pPM(-),
pDM(-)) |
| 家族歴 |
特記すべきことなし |
| 現病歴 |
3ヶ月程前から左上腹部の軟らかい結節に気づいていた.
小指頭大から徐々に増大するため腫瘤を切除した.
痛みなどはなく,上腹部手術創瘢痕部より左に約5cm離れた左上腹部に存在していたため,
臨床的には胃癌の再発転移も否定できなかった.
腫瘤は皮下組織に存在しており,一部腹直筋の筋膜に癒着していたため,
筋膜を一部含んで切除された.
術前画像所見では単発性,境界明瞭の腫瘤で,
腹腔内,骨盤内,後腹膜などに他の腫瘍性病変は認められなかった.
腫瘍の大きさは約2.5x2.5x2cm,弾性軟,割面では灰白色,一部出
血を伴っていた.中身は充実性だったが,やや脆い印象(ぼろぼろとした)を感じた.
|
| 配布標本 |
腹壁腫瘍 |
|
|
| 問題点 |
病理組織診断 |
| 最終病理診断 |
Poorly differentiated synovial sarcoma (FISHで融合遺伝子形成を確認)
|
| 演者診断 |
低分化型滑膜肉腫 |
| コメント |
高齢者の非定型的部位に発生した低分化型滑膜肉腫の1例を経験した.HE染色と免疫染色を含む特殊染色,そしてもどし電顕の所見からはEwing's sarcoma / PNET familyの腫瘍との鑑別が非常に困難であり,最終的には札幌医大 長谷川 匡教授にお願いしたEWSR1及びSYT二色分離probeを用いたFISH解析により,SYTのsplit signalを検出し,低分化型滑膜肉腫と診断した1例です. |
|
|
|
|
|
|
|
|
|
|
|
|
|
|
|
|
|
|
|
|
|
|
画像1
|
画像2
|
|
|
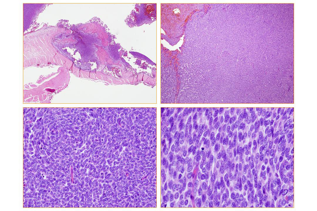
| 腫瘍は境界明瞭で,N/C比大,比較的小型で円形の細胞がびまん性,充実性に増生しており,一部腹直筋のfasciaに浸潤している.円形,類円形の細胞が主体で,一部流れる様な紡錘形の細胞が渦巻状配列に見える部分も認められる.多数の核分裂像(+). |
腫瘍細胞はCD99, CD56, bcl-2, vimentinが陽性を示した. |
|
|
画像3
|
|
|
|
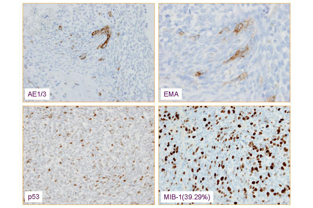
| 腫瘍の辺縁部でやや紡錘形を示す細胞にfocalではあるが,EMAとAE1/3陽性所見を認めた.MIB-1 labeling indexは39.29%. |
|
|
|
|
|
|
|
|
|
|
|
|