第 62 回 日本病理学会東北支部学術集会(JSP −TN) 抄録データベース
演題番号 19 区分 B. 典型的・教育的・その他の症例
部位/臓器 その他(全身性疾患)
演題名 腎不全と高アンモニア血症により生後4日で亡くなった症例
出題者および所属
新潟大学大学院医歯学総合研究科 分子細胞病理学分野1
同 小児科学分野2
同 病理形態学分野3
川崎 隆1,岩渕 晴子1,2,今村 勝1,2
松永 雅道2,長谷川 剛3,内藤 眞1
症例の概要・問題点
症例 4生日,男児.
臨床診断 腎不全,高アンモニア血症.
家族歴 特記すべきことなし.
現病歴 在胎38週4日,経膣分娩で出生.仮死はなく体重は2945gであった.
3生日より哺乳カ低下と頻脈(200回/分以上)が見られ,・T磴靴覆・br> なりNICU入院となった.入院時,無尿であった.頭部CTでは異常は
なかった.高度な呼吸性アシドーシスがあり人工換気を開始した.
高Na,高K血症の他に高アンモニア血症が見られた.
4生日には心室頻拍が出現し蘇生を試みたが永眠した.
入院時検査所見 WBC 19610 /μl, RBC 568x104 /μl, Hb 18.6 g/dl, Ht 54.1%,
Plt 31.8x104/μl, TP 5.0 g/dl, Alb 2.7 g/dl, GOT 755 IU/L,
GPT 191 IU/L, γ-GTP 223 IU/L, LDH 2147IU/L, ALP 1021 IU/L,
BUN 7mg/dl, Cre 1.5mg/dl, Na 157 mEq/L, K 6.5 mEq/L,
Cl 115 mEq/L, 血糖 98 mg/dl, アンモニア1000 μg/dl以上,
CRP 0.14 mg/dl, 血液ガス検査(室内空気): pH7.149,
PaO2 54.8 mmHg, PaCO2 71.0 mmHg
剖検所見 身長 50cm,体重 2940g,外表,内臓に奇形は見られなかった.肉
眼的に肝(1O1g)は脂肪肝様で,腎(左17g, 右16g)では腎乳頭の腫大
が見られた.
配布組織 肝,腎組織

問題点 診断について
最終病理診断 シトルリン血症?型 (肝小滴性脂肪変性と腎尿細管上皮胞体の好酸化および内腔における結晶沈着)
演者診断 シトルリン血症 I 型
コメント 代謝検査でシトルリン血症 I 型が明らかとなった新生児の一剖検例を経験した.
本症例は,高アンモニア血症の他にシトルリンの腎尿細管への沈着や集合管での
析出による腎不全が死因になったと考えられた.タンデム・マススクリーニングでは,
多くの先天代謝異常症を対象としており,本症例を含め高アンモニア血症を呈する
症例の診断に有用である.
画像1 画像2
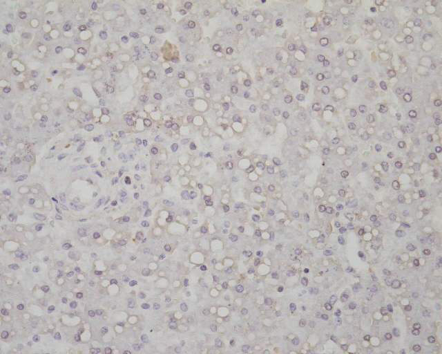
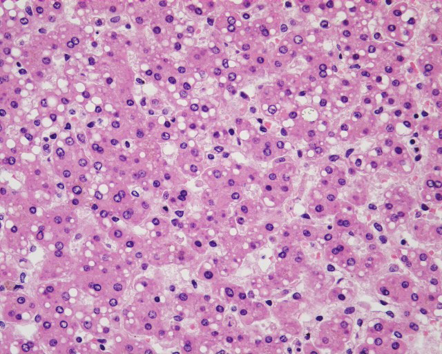
肝細胞に小滴性の脂肪沈着が見られ,脂肪染色に陽性であった.HE x 40 肝細胞の脂肪滴は抗シトルリン抗体に陽性であった. X 40

画像3 画像4
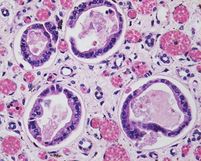
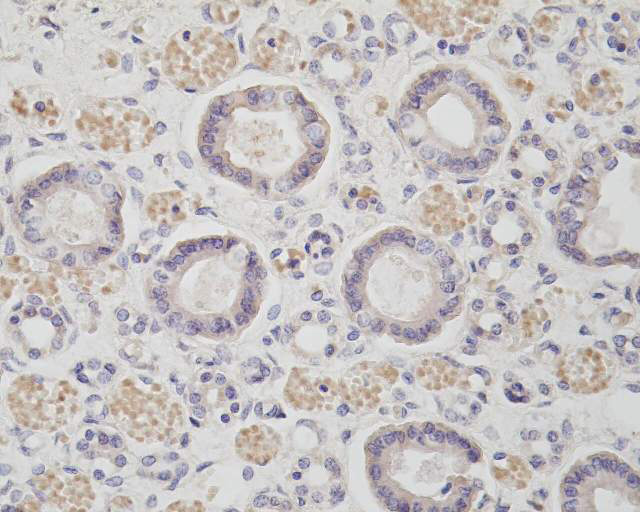
腎乳頭は腫大していた.集合管は拡張し内腔に結晶物が見られた. HE x 40 腎尿細管と集合管の結晶物は抗シトルリン抗体に陽性であった. X40