第 57 回 日本病理学会東北支部学術集会(JSP −TN) 抄録データベース
演題番号 14 区分 典型的・教育的・その他の症例
部位/臓器 女性生殖器,子宮
演題名 子宮頚部筋腫として切除された腫瘍
出題者および所属
小倉豪1)、上村勝人2)、鈴木利光1)
1) 福島県立医科大学医学部病理学第二講座、2) 同第一講座
症例の概要・問題点
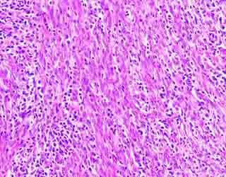
症例 症例は33歳、女性、2妊2産。2002年10月頃より月経過多による重度の貧血(Hb:3.4g)
にて経過を観察されていたが、2003年4月23日に子宮筋腫の診断の下に子宮摘出術が施行
された。本標本はこの手術時に摘出された子宮頚部の腫瘍である。
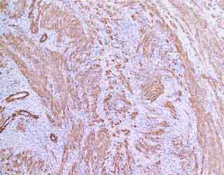
尚、経過中、濃厚赤血球(MAP)輸血5単位、及びGnRH法が施行されている。腫瘍の免疫染色
では、vimentin(+), α-smooth muscle actin(+), muscle specific actin(+), desmin(+),
S-100 protein 一部の細胞に(+),AE1/3[keratin](-), myoglobin(-), CD68(-)であった。

問題点 病理診断
最終病理診断 Inflammatory pseudotumor
画像1 画像2

画像3 画像4