| 第 56 回 日本病理学会東北支部学術集会(JSP
−TN) 抄録データベース |
| 演題番号 |
14 |
区分 |
B. 典型的・教育的・その他の症例 |
| 出題者および所属 |
|
秋田大学医学部 病理学第一講座 1,公立横手病院 婦人科 2
東海林 琢男 1,西川 祐司 1,渡辺 斉 1,大森 泰文 1,山本 洋平 1,吉田 正行 1
西村 拓哉 1,李 慶昌 1,畑澤 淳・ 2,滝沢 淳 2,榎本 克彦 1
|
|
| 症例の概要・問題点 |
| 症例 |
54歳,女性. |
| 主訴 |
急激な下腹部痛. |
| 臨床経過 |
2002年春頃から不正性器出血のため経過観察されていたが,同年6月急激な
下腹部痛にて産婦人科を受診した.CT検査で,血性腹水と子宮体部に最大径
4cmまでの数個の腫瘤が認められ,画像診断では腫瘤はいずれも変性を伴う
平滑筋腫と診断された.血性腹水の原因として左側壁の腫瘤の破裂が疑われ,
6月21日子宮および両側付属器の摘出術が行われた.
|
| 肉眼所見 |
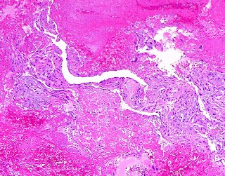
左側壁の漿膜下筋層内の腫瘤(4.Ox2.7x3.3cm)のほぼ大部分は出血性の暗赤色
で腹腔内への穿破が認められた.筋層との境界はやや不明瞭でこの部は黄白色
を呈していた.内膜,卵巣との連続性は認められなかった.
他の3個の腫瘤の割面は白色,境界明瞭で,壊死,出血は認められず平滑筋腫
様の所見を呈していた.
|
| 配布標本 |
子宮体部左側壁の腫瘤の一部(2002-05169). |
| 組織所見 |
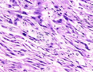
組織学的には,紡錘形細胞の不規則な束状配列と多角形の細胞の充実性胞巣状配列が
混在しており,著明な出血,壊死を伴っていた(画像2,3).紡錘形細胞はクロマチン
が増量した異型核と両染性の胞体をもち,細胞境界は不明瞭であった.一方で,多角形の
細胞は核小体明瞭な異型核と淡明な胞体をもち,細胞境界は明瞭であった.腺腔形成や
乳頭状構造,あるいは粘液産生などの腺癌を示唆する所見はみられず,また,扁平上皮癌を
示唆する所見は認められなかった.以上の所見から,本腫瘍は絨毛癌が最も疑われたが,
間葉系悪性腫瘍や悪性上皮性・間葉系混合腫瘍の可能性も除外できなかった.免疫組織化学
的に,腫瘍細胞は,human chorionic gonadotropin(画像4),human placental lactogen,
human placental alkaline phosphatase,およびCAM5.2に陽性で, vimentin,a-SMA,
desmin,S-100には陰性であった.
|
|
|
| 問題点 |
病理組織学的診断. |
| 最終病理診断 |
Choriocarcinoma |
|
|
|
|
|
|
|
|
|
|
|
|
|
|
|
|
|
|
|
|
|
|
|
|